Prof. Dr.Adalet Demir, Göğüs Cerrahisi
Timus bezi, göğüsün ön kısmında yer alan sternum (iman tahtası) kemiğinin altında ön mediastinum olarak bilinen bir bölümünde yer alan küçük bir organdır.
Timus bezi, ergenlik dönemine kadar vücudun savunma sisisteminde rol oynayan, vücudumuzu yabancı antijenlere karşı koruyan ve immün hücrelerin üretimi ve olgunlaşmasından (T-lenfositlerin yapımı) sorumlu olan birincil organdır. Timuz bezi çocuklarda büyüktür ve immun sistemimizin güçlenmesi ile giderek bu timüs bezi işlevini kayıp eder küçülür ve bir kalıntı olarak kalır. Timusun yaş artıkça epitelyal komponenti atrofiye uğrar ve nihayetinde yağ dokusunun içinde dağılmış şekilde küçük lenfositler kalır. T-lenfositleri kemik iliğinde yapılmaya devam eder.
Timus Hiperplazisi; timüs bezinin boyut veya ağırlık olarak artması demektir. Histopatolojik ve morfolojik olarak ikiye ayrılır.
- Birincisi gerçek hiperplazidir ( timus bezinin boyut ve ağırlığında artış mevcut)
- Gerçek hiperplazilerde hiçbir neden olmayabilir
- Bazende hiperdtiroidi, kortizon kulanımı, radyoterapi ve bazı kan hastalıkları sebeb olabilir
- Erkeklerde sık görülür
- İkincisi ise folliküler hiperplazidir (germinal merkezli lenfoid folliküllerin varlığı )
- Timusun ağırlığı ve boyutu normal veya artmış olabilir
- Daha çok sistemik lupus eritamatozus, romatoid artrit, skleroderma gibi otoimmün hastalıklar eşlik edebilir
- Kadınlarda daha sık görülür
Timus hiperplazisi olan hastalarda mutlaka nöroloji, endokrin ve romatoloj bölümlerine başvurmaları önerilir. Etyolojiyi aydınlatmak ve alta yatan bir hastalık olup olmadığı araşatırılması için.
Timus Hiperplazisi Tanısı
- Bazı olgularda semptomatik olabilir
- Bazı olgularda; öksürük, nefes darlığı ve akciğer enfeksiyonu görülebilir.
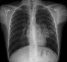
- PA akciğer grafisi
- Mediasten genişleme
- Toraks BT
- Mediastende timüs bezi bölgesinin difüz genişleme, yumuşak konturlar yağ veya lenfoid doku içeriği olarak izlenir
- Timus hayatın ilk iki yılında, en büyük göreceli boyutuna ulaşır ve tipik olarak ön mediasteni doldurur
- Timus bezi 5 yaşlarında küçülmeye başlar ve konveks kenarlı ve dörtgen şekillini alır
- Timus bezi yaş artıkça hüresel involüsyana uğrar ve bilgisayarlı tomografide dansitesi giderek azalır
- Timik hiperplazi, genellikle düzgün kenarlı, diffüz ve simetrik genişlemiş timus dokusu olarak görülür. Asimetrik genişleme timoma olasılığını artırır (Resim 1
- Toraks MR
- Normal timusun hem T1 hem de T2 ağırlıklı sekanslarda kas benzeri bir sinyal yoğunluğu vardır. Yaşla birlikte timusta glandüler yapılarda atrofi olur ve yerini yağ infiltrasyonu aldığından sinyal yoğunluğu her iki sekansta da artar. Mediastene yönelik Dual eko In-faz ve out-faz sekanslarda olan kimyasal kayma artefaktı, bezin yağ içeriğini göstermek için yararlıdır. Mediatene yönelik bu özel çekim normal timus dokusunun diğer benign ve malign timik bez patolojilerinden ayırımını sağlamada katkı sağlar. Toraks MR’da timik hiperplazide tespit edilen 0,9’dan küçük kimyasal şift oranı, mikroskobik yağ içeriğinin göstergesidir. Timik hiperplazi out-faz görüntülerde sinyal düşüşü gösterirken, timik tümörlerde mikroskobik yağ olmadığından out-faz görüntülerde sinyal düşüşü olmaz. Onun İçin Timik hiperpazi ve diğer mediasten kilelrin çekiminde mediastene yönelik Dual eko ( İn ve out faz ) koronal ve sagital kesitleri de çekilerek ayırıcı tanıda önemli rol oynar ve hastaların gereksiz biyopsi veya ameliyattan kaçınmış olur.
Toraks MR tetkiki isterken mediastene yönelik Dual eko ( İn ve out faz) koronal ve sagital kesitleri içerecek şekilde bir not yazılşarak Toraks MR çekimi yapılmalıdır.
- PET-CT
- PET-CT de timik hiperplaziye eşlik eden FDG tutulumu değişen oranlarda olmakla birlikte sıklıkla diffüz, homojen tarzdadır.
- Timik hiperplazinin, timus tümörlerinden ayırıcı tanısını yapabilecek bir eşik değer olduğu düşünülmemektedir. FDG tutulum paterninin homojen yerine heterojen, diffüz yerine fokal olması timik hiperplazi harici nedenleri daha çok akla getirmelidir.
Sonuç: Timus Hiperplazisinde biyopsi yapmayı ve cerrahi olarak çıkartmayı tercih etmiyoruz. Miyestenia Gravis hastalığı var ise bazen VATS ( kapalı ameliyat) ile timüs bezini çıkartırız. Burda önemli olan Timik hiperplazinin anterior mediasten bening ve malign kitlelerden ayrıcı tanısının yapılabilmesidir ( Timoma, lenfoma vb.) . İşte burda iyi bir radyolog ile beraber kartar verilerek bu olgulara biopsi yapmadan bu olguları radyolojik tetikler ile bilgisayarlı tomografi, öxelikle manyetik rezonans’ın mediastene yönelik Dual eko ( İn ve out faz ) koronal ve sagital kesitleri içerecek şekilde bir çekim yaptırarak şekilde bir görüntüleme ve PETBT gibi radyolojik görüntüleme yöntemlerinden faydalanılarak, gereksiz girişimsel işlem ve cerrahiler önlenmelidir.

